Berapa Harga Obat Kutil Kelamin De Nature Indonesia di Bandar Lampung Lampung
Berapa Harga Obat Kutil Kelamin De Nature Indonesia di Bandar Lampung Lampung - Anda harus memeriksakan diri ke dokter jika merasakan adanya gejala kutil kelamin, sering melakukan hubungan seksual tanpa menggunakan kondom, dan salah satu pasangan menderita kutil kelamin atau juga penyakit seksual yang menular lain, termasuk diri Anda sendiri.
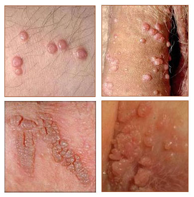
PENYAKIT KUTIL KELAMIN
Berapa Harga Obat Kutil Kelamin De Nature Indonesia di Bandar Lampung Lampung -
Kutil kelamin adalah infeksi menular seksual yang ditandai dengan
munculnya benjolan-benjolan daging berukuran kecil di sekitar area
kelamin atau dubur. Penyakit ini sangat tidak menyebabkan nyeri serta
tidak membahayakan jiwa penderitanya. Walau demikian, penyakit ini
menimbulkan stres akibat benjolan yang tidak sedap dipandang mata.
Diagnosis kutil kelamin
Kutil genitalia merupakan kondisi yang layak mudah dikenali secara kasat
mata oleh dokter. tetapi misalnya kutil termaktub bertunas dekat bagian
yang serius dijangkau penglihatan, bagai bagian internal vagina,
uretra, atau anus, mantri bisa akan membutuhkan alat-alat privat laksana
spekulum dan proktoskop.
Gejala Kutil Kelamin
Seringkali kutil yang bertunas pada tempat genus berformat luar biasa
kecil sehingga berat tampak demi kasat mata. Mereka yang tertimpa kutil
kelamin biasanya mau merasa tiada segar dan gatal pada sekitar bagian
kawasan genitalnya. tetap saja keadaan ini benar-benar mengganggu,
terutama internal aktivitas erotis penderitanya. Penetrasi yang terjadi
saat bersinggungan tubuh boleh membawa dampak kutil berdarah.
Selain kecil, ciri-ciri kutil genus yakni menyamai bintik atau benjolan berwarna abang bujang atau abu-abu. separuh bintik termaktub ada yang tumbuh secara berdekatan dan terlihat seolah-olah kusuma kol. apalagi kutil genus ini dapat menjadi makin banyak dan membentuk kelompok-kelompok besar.
Selain kecil, ciri-ciri kutil genus yakni menyamai bintik atau benjolan berwarna abang bujang atau abu-abu. separuh bintik termaktub ada yang tumbuh secara berdekatan dan terlihat seolah-olah kusuma kol. apalagi kutil genus ini dapat menjadi makin banyak dan membentuk kelompok-kelompok besar.
Pada pria, kutil genus dapat bersemi pada bagian:
- Batang atau puncak penis
- Anus
- Kantung zakar
- Paha bagian atas
- Di sekitar atau pada intern anus
- Di dalam uretra
Pada wanita, kutil kelamin boleh hidup pada bagian:
- Kulit kelamin bagian luar tertulis sekitar anus
- Dinding vagina
- Vulva
- Leher rahim
- Paha bagian atas
- Selain pada instrumen mendasar dan tempat pada sekitarnya, kutil kemaluan juga mampu bertunas pada mulut atau tenggorokan. Biasanya kondisi ini ditularkan melewati gender oral.
Gejala kutil jantina pada pria dan wanita
Kutil kemaluan merupakan salah mono- kategori masalah seksi menular yang
paling umum. suasana ini disebabkan oleh humanpapilloma virus (HPV).
Virus yang hidup dekat intern sel-sel tubuh ini menyimpan lebih dari
seratus tipe dan bukan segalanya menjadikan kutil kelamin.
Kutil genitalia merupakan penyebab transenden kanker serviks.
penjangkitan komplikasi ini terjadi menempuh kesibukan erotis serta
seseorang yang sudah dijalari virus sebelumnya.
Rentannya seseorang bakal terjangkiti kutil kemaluan biasanya ditunjang
oleh sekitar faktor risiko, seolah-olah melangsungkan jalinan sensual
serta orang-orang yang berbeda minus pelindung, melaksanakan ikatan pada
seseorang yang riwayat kehidupan seksualnya tidak diketahui, dan
energik secara seksi sejak usia remaja. Selain itu, seseorang juga lebih
peka tersentuh kutil kemaluan bila sebelumnya sempat menderita masalah
menular seksi lainnya.
Pemakaian kondom sanggup sebagai langkah minimal akan mengayomi kita
dari kutil kelamin, walaupun alat kontrasepsi ini tidak sepenuhnya
menaungi peraba daerah genital.
Cara Pemesanan :
FORMAT PEMESANAN:
Kirimkan Format anda
NAMA :
ALAMAT LENGKAP :
No TLP :
Obat Yang Dipesa/Jumlah :
—oOo—
* Contoh
NAMA : Arman
ALAMAT LENGKAP : Jl Rawamangu No 90 RT09 RW08 Kecamatan Kelapa Gading
No TLP : 085 xxxxxx
Obat Yang Dipesa/Jumlah : Obat kutil kelamin / 1 Paket
kirim ke : 087719985706 // 081226371376 Whatsapp : 081226371376
Pin BB : 5E8ABE22
PERHATIAN..!!
“” Jika Ada Yang Mengatas Namakan De Nature Indonesia, Pastikan Nomor Rekening Atas Nama Awan Ukaya Kami Tidak Buka Cabang Dimanapun, Kami Hanya Ada Di Kota Majenang, Cilacap, Jawa Tengah “”
CV. DE NATURE INDONESIA
Perum Cendana Asri No.9 Majenang
Jl. Pahonjean Majenang – Kec. Majenang
Kabupaten Cilacap – Jawa Tengah
Untuk konsultasi dan pemesanan silahkan manfaatkan layanan Telepon customer service kami atau Kirim SMS ke :
081226371376 / 087719985706
Pin BB : 5E8ABE22
Semoga bermanfaat dan jangan ragu untuk mengkonsultasikan permasalahan anda kepada kami.






Tidak ada komentar:
Posting Komentar